母婴热线电话:87169161(周一至周五工作时间)
互联网医院入口
微信预约挂号
省妇幼官方微博
微信 微博


典型病例


您当前的位置: 首页 > 典型病例

葡萄胎清宫术后4 年诊断为绒毛膜癌

发布时间:2019-08-08 10:17:00 访问次数:12239
字号调整
16px

绒毛膜癌

患者,49 岁 入院时间  2013-4-5 

主诉 葡萄胎清宫术后 4 年,间断阴道出血年余。

现病史 患者 4 年前因出血月余于当地镇医院就诊,诊断为“葡萄胎”,行清宫术,术后未复查,具体不详。1 年前出现间断阴道出血,量同平素月经持续 4 ~ 7 天, 伴下腹痛,未行诊疗。2013 年 1 月中旬,在当地医院查尿 hCG 为阴性。1 个月前当地医院 B 超提示,子宫增大并回声及血流改变,子宫肌瘤,输卵管积液?转我院就诊,2013 年 4 月2 日本院 B 超检查示,子宫底后壁及右侧宫角混合性包块(8.5cm ×7.9cm ),血流异常丰富,造影剂灌注呈快进慢出,灌注不均匀,内膜厚 0.31cm 。2013 年 4 月 2 日本院血 β-hCG 144596 mIU/m l。肺 CT,左肺下叶近脊柱旁细小结节。门诊以“滋养细胞肿瘤?”收入院。

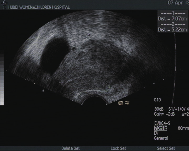
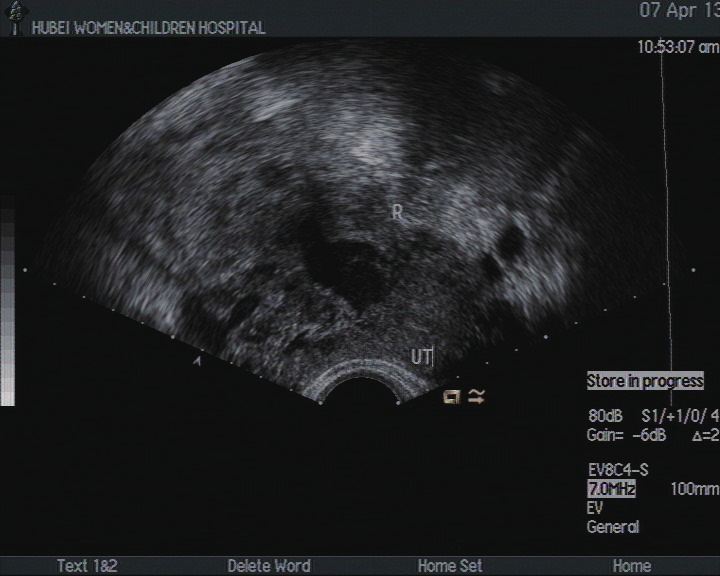
超声检查  2013 年 4 月 2 日,子宫切面形态失常,大小 7.1cm ×4.9cm ×5.2cm ,边界清,肌层光点分布不均匀。子宫左后壁可见 3.7cm ×4.2cm ×3.6cm 的低回声,边界清,向外突,周边可见血流信号,测得 RI:0.23。右侧角部可见 7.1cm ×9.0cm ×8.0cm 的低回声,其内回声不均并可见多个不规则的无回声,其中一个大小为 4.0cm ×2.3cm ;其中低回声内可见丰富的血流信号,测得 RI:0.32。内膜可显示,厚度 0.32cm ,内未见明显异常血流信号。彩色多普勒:肌层血流可显示。右侧卵巢因肠干扰显示不清。左侧卵巢内可见多个无回声,其中最大一个为 3.1cm ×2.5cm 。宫颈前后径 2.9cm 。陶氏腔内见 1.1cm ×2.3cm ×1.0cm 的液性暗区。提示:子宫声像图改变(子宫肌层侵蚀性病灶可能);左侧卵巢囊肿;陶氏腔少量积液。

CT 检查   2013 年 4 月 2 日, 左肺下叶近脊柱旁细小结节。

入院诊断  绒毛膜癌。

入院后先行化疗,期间在病情基本控制后行手术治疗。

入院化疗

1. 2013 年 4 月 8 日,KSM 288μg(第 1 ~ 8 天)+5-FU 1200m g(第 1 ~ 8天),化疗前检查,β-hCG:144596mIU/m l;

2. 2013年5月3日,KSM 288μg(第1~8天)+5-FU 1200m g(第 1 ~ 8 天)化疗前检查,β-hCG:2308mIU/m l。超声:2013 年5 月 27 日,子宫切面形态失常,大小 5.6cm ×4.0×3.8cm ,边界欠清,肌层光点分布不均匀,以后壁为主;底后壁可见 3.6cm ×3.4cm ×3.0cm 的低回声,边界清,向外突起,周边可见血流信号,最高流速 0.41m /s,RI:0.32。子宫右侧壁可见 7.3cm ×6.4cm ×6.9cm 的肿块回声,其内回声杂乱,可见多个不规则无回声,其中较大一个为 1.8cm ×1.5cm ;该肿块与子宫肌层交界处可见丰富的血流信号,记录到动静脉瘘频谱,动脉最高流速 93.5cm /s,RI:0.31。宫腔分离0.19cm ,前壁内膜厚0.1cm ,后壁内膜厚0.1cm ,其内未见明显异常血流信号。CDFI:前后壁肌层内可见多个局灶性异常血流丰富区,均测得高速低阻频谱; 前壁三处范围分别约 0.8cm ×0.7cm 、0.6cm ×0.7cm 、 0.8cm ×0.8cm ,最高流速 60.9cm /s,RI:0.40;后壁较大一处范围约 1.3cm ×1.3cm ,测得最高流速 26.0cm /s, RI:0.33。左侧卵巢可显示。右侧卵巢显示不清。左侧卵巢前方可见 3.5cm ×2.2cm 的无回声,边界清。陶氏腔内可见5.6cm ×1.8cm 的液性暗区。腹腔内未见明显游离的液性暗区。提示:子宫增大,血流丰富,子宫右侧壁混合性包块,结合临床考虑为绒癌(与 4 月 2 日彩超结果比较包块未见明显增大);左侧附件区囊肿;陶氏腔积液。

手术方式  2013年5月28日, 经腹全子宫切除+ 右宫旁转移灶切除+ 双附件切除术。

术后病检  2013 年 5 月 31 日(1306040)。右卵巢、右宫旁及宫底绒癌病灶(右卵巢病灶 8cm ×7cm ,宫底病灶 3cm ×3cm );左宫旁散在退变绒癌细胞。

术后化疗

1. 2013 年 6 月 4 日,KSM 288μg+5-FU 1200m g,第 1 ~ 8 天。

2. 2013年 6 月 30 日,KSM 288μg+5-FU 1200m g, 第 1 ~ 8 天。

3. 2013 年 7 月 30 日,KSM 288μg(第 1 ~ 8 天)+5-FU 1200m g,第 1 ~ 8 天。肺部 CT:未见病灶,左下肺细小结节大体同前,结节多位于胸膜。超声:无异常发现。β-hCG:5.1m IU/m l。

4. 2013 年 7 月31 日,KSM 288μg(第 1 ~ 8 天)+5-FU 1200m g(第 1 ~ 8 天)(巩固 1)。化疗前检查,肺部 CT:未见病灶,左下肺细小结节大体同前,结节多位于胸膜。β-hCG:1.42mIU/ml。

5. 2013 年 8 月 28 日,KSM 288μg(第 1 ~ 8 天)+5-FU 1200m g,第 1 ~ 8 天(巩固 2)。化疗前检查,β-hCG:1.42m IU/m l。6. 2013 年 9 月 26 日,KSM 288μg(第 1 ~ 8天)+5-FU 1200m g(第 1 ~ 8 天)(巩固 3)。疗前检查:β-hCG:0.64m IU/m l。

生存信息 化疗后转入随访,无瘤生存。

 

  图A 超声图像(2013 年 04 月 02 日,化疗前)

 

图B 超声图像(2013 年 04 月 02 日,化疗前)